Children's Dentistry
Children Dentistry (Paediatric)
Our children’s dental care is designed to be gentle, friendly, and stress-free. With an experienced team and a child-first approach, we help protect growing smiles while educating both parents and kids on good oral health from a young age.
Before & After
Before

After
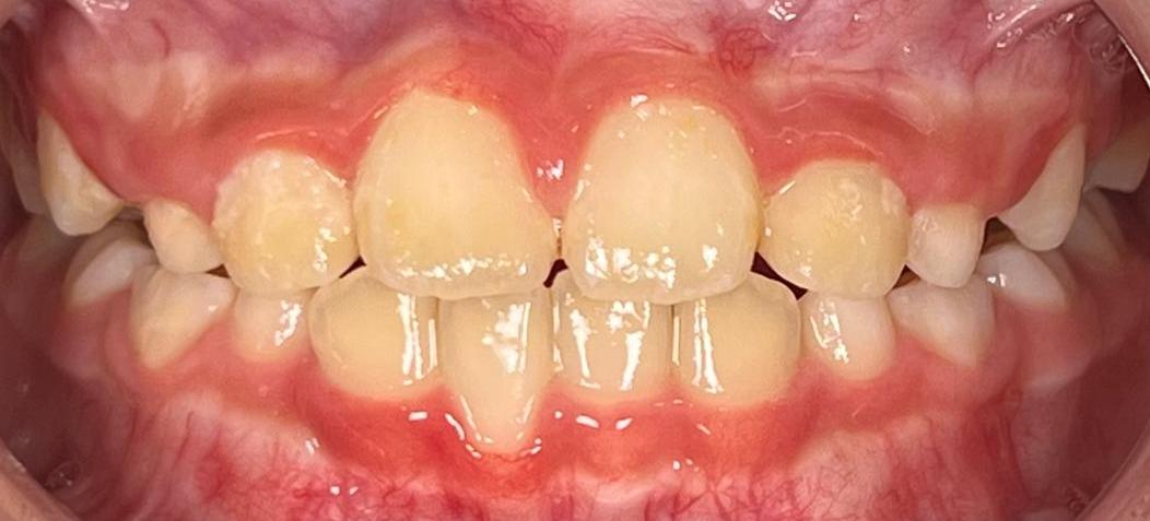
Underbite (Anterior crossbite)
Before

After
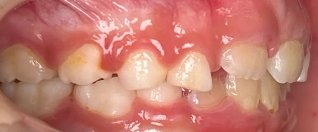
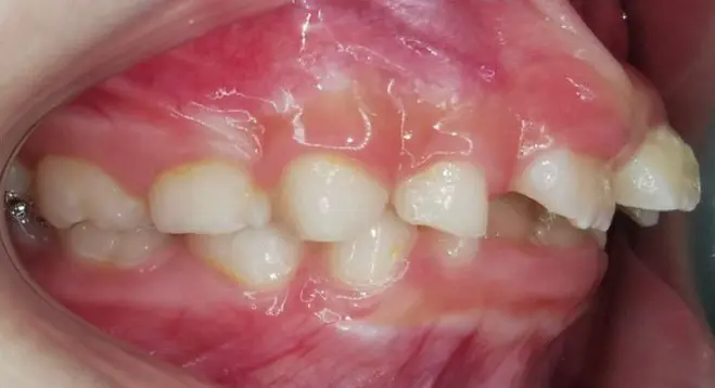
Mesiodens (Extra Teeth)
Before

After
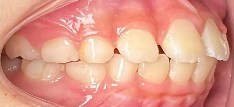
Overbite (Deep bite)
Before

After
Spacing
Before

After
Openbite
Before

After
Overjet

Myofunctional therapy is a gentle and effective treatment that helps retrain the muscles of the face, tongue, and mouth to improve how we breathe, speak, swallow, and even rest our tongues. It uses simple exercises to correct habits like improper tongue posture or mouth breathing. This kind of therapy tends to work best for children under the age of 12, as their muscles and habits are still developing and easier to guide.
Key Goals:
- Correct tongue posture.
- Improve nasal breathing.
- Enhance swallowing patterns.
- Support proper facial muscle function.
Your child may benefit from myofunctional therapy if you notice:
- Mouth breathing
- Snoring or restless sleep
- Tongue thrust
- Thumb sucking
- Lips always open at rest
- Early crowding
After Myofunctional Therapy (MFT), patients often experience improved tongue posture, better nasal breathing, reduced mouth breathing, clearer speech, and improved swallowing patterns. Over time, this can support healthier jaw development, better alignment, and overall oral function.
What MFT can do:
✔️ Correct oral muscle habits
✔️ Encourage healthy jaw growth
✔️ Improve sleep & breathing
✔️ Support long-term smile development

The BioBloc is a special type of orthodontic appliance used in Myofunctional Therapy (MFT). It's designed to help correct harmful oral habits, guide healthy facial development, and improve jaw alignment—especially in children, while their bones are still growing and changing.